COSA FARE IN CASO DI FRATTURA???
La frattura è la rottura di un osso mediante l’applicazione di una forza fisica violenta. Le fratture possono essere causate da traumi violenti, come incidenti, percosse, cadute. Nel cane le ossa più soggette a traumi sono quelle lunghe (femore, tibia, radio e ulna), e quelle del bacino. Qualsiasi osso si può rompere, e l’unico metodo per diagnosticarlo è attraverso la radiografia. Possiamo trovarci di fronte a tre tipi di fratture: esposte (aperte) e fratture chiuse, a seconda che la pelle venga lacerata da parte di un moncone d’osso, fuoriuscendo all’esterno e non complete, quelle fratture che hanno incrinato una parte dell’osso.
FRATTURA CHIUSA:
Il cane ha una grossissima difficoltà ad appoggiare l’arto al suolo, ha intenso dolore alla palpazione, e l’arto si presenta gonfio e deformato.
In questo caso possiamo sospettare una frattura, ma come detto in precedenza solo una diagnosi radiografica, può togliere qualsiasi dubbio.
In presenza di una sospetta frattura si deve cercare di immobilizzare l’arto con lo scopo di limitare i movimenti in attesa di raggiungere il veterinario, và maneggiato con estrema delicatezza, cercando di riportarlo nella sua posizione anatomica per favorire la perfusione sanguigna dell’arto. ATTENZIONE A NON SOTTOPORRE L’ARTO A TORSIONI O TRAZIONI.
La parte lesa và avvolta con qualcosa di morbido ( cotone, fazzoletti, ovatta), e poi successivamente steccata o con del giornale creando una sorta di doccia, o con dei supporti rigidi, come stecche di legno o cartone, fissati con del nastro o bende.
FRATTURE APERTE ( di solito le fratture Aperte/Esposte sono Scomposte)
Le fratture aperte sono le più brutte da gestire, l’animale oltre ad essere spaventato sarà anche agitato, si consiglia di avvicinarlo nel modo più dolce possibile, usare la museruola se dovesse diventare mordace.
Come abbiamo detto in precedenza, una frattura esposta è quella dove troviamo i due monconi che fuoriescono dalla pelle, in questo caso bisonga limitarsi solo a pulire la lesione con della acqua ossigenata o del betadine, spruzzandolo direttamente sulla parte lesionata in modo da allontanare ogni sporcizia possibile.
Ricoprire il moncone, con delle garze sterili o con un panno pulito, cercare di immobilizzarlo come descritto sopra ma senza bendarla (chiudere la ferita), lasciare la ferita coperta solo con delle garze, fermare la steccattura a monte e a valle della lesione.
IMPORTANTE NON CERCARE DI RIDURLA facendo rientrare i monconi d’osso all’interno cute, si rischierebbe di far entrare nei tessuti le impurità non rimosse.
Se dall’arto lesionato dovesse uscire molto sangue, cercare di limitare la fuoriuscita posizionando un laccio emostatico a monte della frattura, il più possibile vicino al corpo.
Il laccio potrebbe essere o una garza arrotolata, un laccio di quelli piatti, o un fazzoletto arrotolato.
Stringendo moderatamente, ma senza bloccare la circolazione sanguigna, si rischierebbe la necrosi dei tessuti.
Il laccio và posizionato per un periodo che và dai 15′ ai 20′ allentandolo ogni 5′, giusto il tempo di raggiungere il veterinario…
COSA FARE DOPO AVER GESTITO UNA FRATTURA???.
A questo punto il Veterinario è la prossima tappa da raggiungere. Occorre caricare il cane in macchina in modo da non muovere troppo l’arto interessato o il corpo se si tratta di colonna vertebrale o bacino.
Se dobbiamo trattare la colonna o il bacino consiglierei di posizionare il cane su un piano rigido (asse di legno o un qualcosa di rigido), cercando di tenerlo il più possibile fermo. Se la frattura interessa il bacino o la colonna, è fondamentale cercare di muoverlo il meno possibile. Per esperienza personale gestire una simile emergenza su un cane non è facile, poi se questo è sotto schock diventa ancor più difficile. Ma occorre provarci.
Oggi giorno anche la medicina veterinaria si sta avvicinando alle tecniche che si usano nel trauma/ortopedia umana. Gli interventi di riduzione garantiscono una buona ripresa. Ma??? C’è sempre un MA.
Occorre ricordarsi che noi stiamo trattando una frattura ossea di un Cane e non di un Umano, il quale possiede una razionalità diversa. Ovvero l’uomo dopo l’intervento esegue di solito alla lettera le prescrizioni mediche/fisiatriche del caso, riposo, non caricare l’arto, non utilizzare l’arto se si tratta di quello superiore, muoversi con l’utilizzo di ausili, disinfettare in modo accurato le ferite e così via… Impartire una certa disciplina al cane in questi momenti diventa pressoché difficile se non impossibile.
Quindi gestire un Animale con un arto bloccato non è una passeggiata soprattutto se il cane è di grande mole, se è giovane, se è abituato a stare fuori quindi abituato a muoversi. Mi ricordo il mio Sid, quando gli capitò quell’incidente strano, che gli spezzo la schiena, dopo l’intervento abbiamo tribulato parecchio a tenerlo buono, arrivando anche a somministrargli dei calmanti. Sia il dolore, sia la situazione, sia la giovane età, il non capire che non poteva più muoversi ha reso la situazione, straziante per lui, straziante per noi.
Ma Sid è un esempio estremo, ma mi fa riflettere ancora una volta su molti aspetti che colpiscono il mondo del cane.
Ho lavorato parecchi anni, prima come istruttore di estricazione adulta e pediatrica (ovvero estrarre un corpo incastrato/incarcerato da un abitacolo e situazione simile, cercando di mantenere/conservando l’anatomia del corpo) quando lavoravo sulle ambulanze, poi passando al trauma/ortopedia in corsia e poi in sala operatoria. Ho visto moltissimi interventi, moltissime tecniche, in certi casi il traumatologo, doveva usare la fantasia unita alla tecnica per ricomporre certi puzzle di ossa esplose… seguita dalla riabilitazione e magari da altri interventi per poter migliorare la situazione o per rimuovere i fissatori esterni. Senza contare la gestione delle ferite, le medicazioni, le infezioni che a volte capitavano con la gestione di queste ultime, con toelettature chirurgiche. Rimettersi in piedi, in certi casi era davvero difficile.
Bè se penso alla mia mano con la frattura scomposta del 5 metacarpo, dove hanno utilizzato un fissatore esterno che ha fatto più danni che guadagni, portandomi ad un nuovo intervento, che mi ha tenuto la mano bloccata quasi per 9 mesi… pensare per un ossicino del “cazzo”….
Ma cerchiamo di capire cosa sono i Fissatori Esterni/Ilizarov/fili di Kirschener, Placche e Viti
Visto che la mia esperienza passata si è svolta in un ambiente ospedaliero, quando mi capita di affrontare emergenze veterinarie con i miei cani, paragono l’esperienza infermieristica sui miei cani. Cercando di capire cosa sia meglio per loro, non dimenticando che sono Cani e hanno un loro modo di reagire determinate situazioni, inoltre cercando di comprendere il tipo di GESTIONE POST OPERATORIO, perchè la gestione del DOPO ha IMPORTANZA FONDAMENTALE sulla salute del nostro cane.
Ora vi illustro alcune delle tecniche per la riduzione delle fratture osse.
Posso comprendere che questo può sembrare un tantino noioso, ma se avrete la pazienza di leggere, capirete da soli a cosa sto cercando di esporvi.
L’apparato di Ilizarov
Colgo l’occasione di presentarvi il Prof. Alexander Kirienko specialista ortopedico di origine russa, che ha lavorato a stretto contatto con il Prof. Gavril Abramovich Ilizarov nel suo centro in Siberia fino al 1992 non che inventore dell’apparato chirurgico di distrazione osteogenica (Apparato di ilizarov).
Ma a cosa serve questo gesso aperto? L’apparato di Ilizarov serve per allungare o modificare la forma della ossa degli arti superiori o inferiori. La procedura può essere utilizzata, per trattare fratture ossee di diversi tipi, nei casi in cui non siano applicabili altre tecniche convenzionali.
Ovvero, lo possiamo applicare in quattro casi.
1- patologie di origine traumatica: dove possiamo elencare fratture esposte, pluriframmentarie, anche con perdita di sostanza ossea, nelle fratture intrarticolari e quelle vicine alle articolazioni.
2- patologie a seguito di interventi chirurgici: troviamo deformazioni post traumatiche ed esiti di precedenti trattamenti, pseudoartrosi (ritardo di consolidamento osseo in seguito a una frattura) con o senza perdita di sostanza ossea, pseudoartrosi infette e tutte le patologie conseguenti a infezioni dell’osso.
3- Patologie nella crescita della ossa: Nanismo (acondroplasia), displasie ossee, ipoplasie ossee dell’arto superiore o aplasia del radio, malformazioni congentie del piede o della mano ( stiamo parlando dell’applicazione dell’apparato sull’uomo).
4- patologie in esiti di varie malattie: artrosi con deformità degli arti, esiti di tubercolosi ossea, paresi spatica e miopatie, sono tra i più classici esempi.
L’intervento chirurgico nell’uomo consiste in:
Il paziente deve essere stato giudicato idoneo per il tipo di intervento, viene fissato sull’arto interessato, in anestesia generale, una struttura metallica a forma cilindrica composta da cerchi distanziati da piccole aste (che ne permettono il preciso posizionamento e il progressivo allungamento) alle quali sono collegati i terminali dei fili delle viti che s’interessano nel tessuto osseo. Molta dell’efficacia dell’intervento dipende dall’abilità del medico nell’uso degli strumenti e nel riconoscere le peculiarità di ogni caso, dai suoi studi e dalla sua esperienza in questa tecnica.
Cosa avviene nel decorso operatorio?
Durante la convalescenza il pazienze è sottoposto periodicamente a numerosi controlli clinici e radiografici, per la verifica del corretto andamento post operatorio. La rimozione del fissatore avviene in ambulatorio in anestesia locale, nei mesi successivi all’intervento, si va dai due mesi per i casi più semplici a un anno per i casi più complessi. La particolare conformazione del fissatore consente comunque al paziente di muoversi e nonostante l’uso delle stampelle, gli dà un forte senso di stabilità
![]() |
|
SISTEMA DEL SISTEMA DI ILIZAROV SUL CANE |
![]() |
|
SISTEMA DEL SISTEMA DI ILIZAROV SULL’UOMO |
Fili di Kirscher e Fissatori esterni
Nell’ortopedia chirurgica umana, possiamo utilizzare un’altro sistema di immobilizzazione ossea, ovvero con l’utilizzo dei fili di Kirscher (conosciuto anche con il nome di K-wier) è un filo rigido e sottile che viene utilizzato per immobilizzare frammenti ossei migrati dalla loro sede d’origine in seguito, a una frattura scomposta. Questa tecnica è stata introdotta nel 1909 dal chirurgo Martin Kirschern non che inventore della procedura non invasiva nel trattamento delle fratture complesse.
I fili metallici appuntiti vengono posizionati attraverso la pelle sull’osso per mantenere la riduzione della frattura. Sono mezzi di fissazione che non sono in grado di dare una stabilità alla frattura motivo per chi sono sempre accompagnati da un apparecchio gessato
![]() |
|
Fili di Kirschner nell’Uomo |
Fissatore Esterno
Per Fissatore Esterno s’intende un mezzo di fissaggio che non viene coperto dalla pelle ma attraverso piccole aste metalliche chiamate “fiches”, che vengono applicate sopra e sotto alla frattura nell’osso e un corpo centrale che serve a stabilizzare la frattura ossea. A volte in base al trauma viene associato ad altri sistemi di fissaggio come ad esempio i fili di Kirschner.
Il fissatore esterno può anche essere un mezzo di sintesi temporaneo ovvero quando la qualità dei tessuti molli è scadente si posizione per poi essere sostituito con un impianto interno come la placca e le viti.
Lo svantaggio di questo sistema chirurgico rispetto all’osteosintesi con placca e viti è l’infezione delle viti metalliche che fuoriescono dalla pelle, l’impossibilità di ridurre accuratamente la frattura e l’impossibilità di eseguire le mobilizzazioni precoci, mentre il vantaggio è la non esposizione della frattura.
![]() |
|
Fissatore Esterno utilizzato nel Cane |
![]() |
|
Fissatore Esterno utilizzato nell’Uomo |
L’utilizzo di Placche e Viti
La riduzione con placca e viti, è un’ opzione chirurgica che viene utilizzata ampiamente (quando non siamo di fronte a traumi gravi) perchè presenta alcuni vantaggi:
– Riduzione anatomica dei frammenti soprattutto nelle fratture che interessano la superficie articolare.
– Precoce mobilizzazione dell’arto con riduzione del rischio di rigidità dell’articolazione.
![]() |
|
Placche e viti utilizzate nell’uomo |
![]() |
|
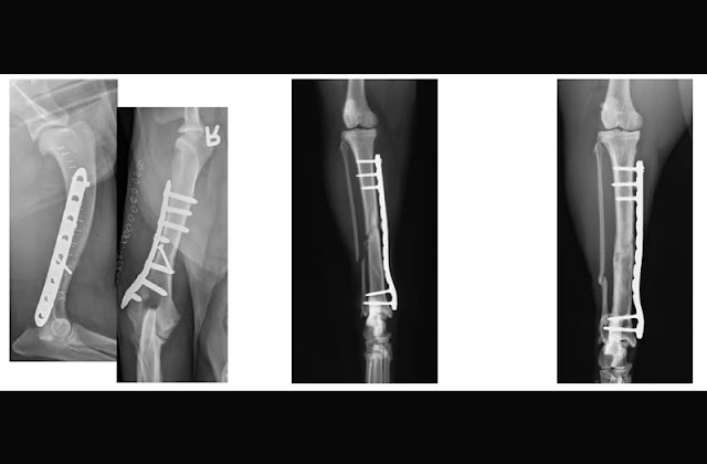
Riduzione di una frattura con l’utilizzo di Placche e Viti nel Cane |
![]() |
|
Riduzione di una frattura con l’utilizzo di Placche e Viti nel Cane |
![]() |
|
Riduzione di una frattura con l’utilizzo di Placche e Viti nel Cane |
![]() |
|
Riduzione di una frattura con l’utilizzo di Placche e Viti nel Cane |
Queste elencate sopra sono le tecniche più utilizzate nell’uomo. Oggi giorno, come sta accadendo da qualche anno a questa parte, la medicina veterinaria sta cercando di applicare le stesse tecniche anche sul cane.
I vantaggi potrebbero essere molti, tutto dipende sempre dal tipo di emergenza che siamo chiamati a risolvere. Ma occorre ricordarsi, che siamo sempre di fronte ad un animale, che non ascolterà i consigli dettati dal medico, che cercherà di strapparsi le medicazioni, che cercherà di muoversi nonostante il fissaggio esterno, ilizarov, fili d’acciaio, o placche inserite. A lui non importerà nulla di tutto questo, lui vorrà solo tornare a fare le sue solite attività, ovvero, correre, saltare, scavare…
Quindi a mio avviso, sono dell’idea che certi sistemi di riduzione possono portare vantaggi da una parte, ma possono anche complicarci notevolmente la vita.
Immaginate un cane con un fissatore esterno. La cute deve sempre esser tenuta pulita, soprattutto nei fori di ingresso del fissaggio, il cane si può muovere ma con moderazione (non dimenticate che alcuni cani possiedono una soglia dolore altissima, quindi difficili da contenere), dovete ricordarvi che il cane dovrà subire un’altro intervento per rimuovere l’apparecchio posizionato. Sussiste il rischio maggiore di infezioni.
Occorre tenere inconsiderazione che l’animale va tenuto in un ambiente pulito o per lo meno, un’ambiente che non consenta al cane di sporcare le ferite. Occorre impedire al cane di mordersi o strapparsi l’apparecchio applicato esteriormente. Vi posso garantire che è un bel lavoraccio.
Cosa farei io?
Se dovessi trovarmi di nuovo di fronte a questo tipo di emergenza, cercherei di trovare un dialogo con il veterinario e optare per una soluzione rapida e facile da gestire. A meno che l’arto non sia esploso in mille pezzi, sono una gran tifosa dell’applicazione della placca e viti. Il vantaggio di gestire una sola ferita, senza aggeggi che spuntano dalla pelle. Una sola medicazione, un solo taglio. Inoltre la placca consente di portare l’arto in una posizione anatomica, garantendo una stabilità maggiore, anche se nell’evenienza il cane decidesse di correrci sopra, cosa che non deve accadere soprattutto nei primi tempi… E’ un’intervento che si esaurisce esattamente dove finisce (salvo inconvenienti), escludendo rischi di infezioni, di mobilità, di ulteriori interventi.
So benissimo che quando ci si trova di fronte a una situazione sanitaria, ci troviamo interdetti, perchè non sappiamo come muoverci, e ci dobbiamo fidare del medico che abbiamo davanti, ma cerchiamo di fare le domande giuste, e trovare le soluzioni adeguate. Non accettiamo subito quell’opzione senza cercare di capire cosa ci viene detto come se fosse un’unica scelta. Cercate di capire i Pro e i Contro.
Tenete presente che dopo un qualsiasi intervento c’è la gestione del post operatorio. Purtroppo gli interventi di traumatologia richiedono una certa attenzione durante i primi periodi del Post Operatorio. Quello che vi consiglio, è di informarvi bene su come gestire l’animale una volta portato a casa, perchè è un passo importante per la ripresa dell’animale senza eccessive complicazioni.
Le foto pubblicate sono tratte da internet.










